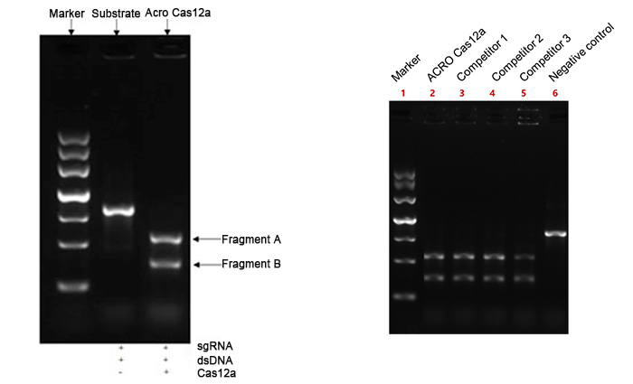
CRISPR-Cas9试剂盒:靶向基因编辑工具 基因编辑是指改变细胞DNA区域的过程。最常见的基因编辑技术包括使基因功能失活(敲除)、引入或校正SNP突变,或在内源基因上添加报告基因标签(敲入)。这些改变是永久性的和遗传性的,从而产生一个新的工程细胞系。 什么是CRISPR CAS9?CRISPR/Cas9是一种RNA引导的靶向基因组编辑工具,允许研究人员在细胞系和动物中进行基因敲除、插入、缺失和SNP编辑。CRISPR/Cas9基因组编辑系统需要两个组分:Cas9核酸酶和引导RNA(sgRNA)。sgRNA将Cas9定位到基因组序列中的特定位置。在3’端存在原始间隔相邻序列(PAM – 序列NGG)时,Cas9将解开DNA双链,并在引导RNA识别到目标序列时切割两条链。 背景 多年来,许多有前途的基因组编辑工具已经开发出来,包括锌指核酸酶(ZFNs)、转录激活样效应子核酸酶(TALENs)和CRISPR相关蛋白9(Cas9)。ZFN和TALENs是目标基因组修饰方法,其设计成本高且耗时,限制了它们的广泛应用,尤其是在大规模、高通量研究中。CRISPR-Cas9是一种独特的技术,使遗传学家和医学研究人员能够研究、改变、创建和重建高度复杂的通路、DNA序列、基因和自然生物系统。它目前是最简单、最灵活和最精确的基因操作方法,因此在科学界引起了轰动。它已广泛应用于基因组编辑的广泛领域,例如干细胞工程、基因治疗、组织和动物疾病模型以及工程抗病毒转基因植物,极大地提高了人们对肿瘤基因组学的理解。产品介绍我们专注于细胞和基因治疗领域,推出了CAS系列核酸酶,包括Cas9和Cas12a。这些蛋白质主要用于靶向基因编辑,以提供高效的编辑效率。产品特点:1.经过体内/体外实验验证的高酶活性:体外片段切割效率>90%,有助于使用CRISPR技术进行基因组编辑。2.提供高浓度的CAS-9核酸酶:10mg/ml,用于优化更复杂情况下的编辑条件。3.高纯度:经SDS-PAGE和SEC-MALS验证的纯度>90%。4.核定位信号(NLS)的引入有助于将酶传递到细胞核,提高基因组DNA切割速率。5.无残留RNase:生产过程严格无RNase污染。6.酶活性和纯度已经批次检查。批次之间具有高稳定性和一致性。 CRISPR-Cas9调控机制:通过内源性的非同源末端连接(NHEJ)或同源定向修复(HDR)修复双链DNA断裂 原核生物与感染它们的病毒之间的相互作用已经进化,导致了多样性的CRISPR-Cas系统。CRISPR-Cas系统通常分为两类(Class 1和Class 2)。迄今为止,大多数研究人员使用的是Type 2 CRISPR-Cas系统,在这一类中,研究最多的是CRISPR-Cas9系统。CRISPR-Cas9相关应用CAR-T疗法中的应用:1.生成通用的异基因CAR-T细胞;2.增强CAR-T细胞功能。 TCR-T细胞疗法的应用:α和β内源性TCR基因替换为人工肿瘤特异性TCR序列。 其他应用:1.抑制免疫检查点信号通路;2.筛选肿瘤免疫治疗的新靶点。 以其切割目标DNA底物的能力来衡量。Cas12a实现了>90%的底物切割,与竞争产品相当。 NLS-Cas9核酸酶在包含目标序列的DNA片段上进行了体外DNA切割实验。NLS-Cas9核酸酶的活性大于90%(经过质量控制测试) CRISPR-Cas9的工作原理CRISPR/Cas9系统涉及两个关键组分:目标特异性的CRISPR gRNA和Cas9核酸酶。在真核系统中,CRISPR/Cas9通过sgRNA(CRISPR RNA(crRNA)和转录激活样效应子RNA(tracrRNA)的组合)特异性靶向DNA进行基因组编辑。Cas9识别与引导序列相邻的非常短的保守序列(几个核苷酸长度),称为“原间隔相邻序列”(PAM)。一旦定向到DNA靶位点,Cas9产生双链断裂(DSB),可以通过插入缺失引入的非同源末端连接(NHEJ)或高保真同源定向修复(HDR)来修复,从而导致基因敲除效应或基于模板的基因替代。 如何设计sgRNA序列CRISPR/Cas9基因靶向需要定制的单链引导RNA(sgRNA),其中包含一个目标序列(crRNA序列)和一个招募Cas9核酸酶的tracrRNA序列。下方显示的crRNA区域是一个20个核苷酸的序列,与您感兴趣的基因区域同源,并将指导Cas9核酸酶的活性。 请按照以下准则选择与sgRNA的crRNA序列对应的基因组DNA区域:DNA目标序列的3’端必须具有原间隔相邻序列(PAM)序列(5’-NGG-3’)。PAM序列上游的20个核苷酸将成为您的目标序列(crRNA),Cas9核酸酶将在PAM上游约三个碱基处切割。1.PAM序列本身对于切割是绝对必需的,但它不是sgRNA序列的一部分,因此不应包含在sgRNA中。2.目标序列可以位于DNA的任一链上。 我们的在线工具可以检测PAM序列,并列出特定DNA区域内可能的crRNA序列。这些算法还可以预测基因组其他地方的离靶效应,帮助您选择最具特异性的crRNA用于您的研究应用。设计sgRNA的提示:根据我们的经验,已测试的多个基因中,最佳的sgRNA在位置1处有一个G,位置17处有一个A或T 生成sgRNAs合成您的sgRNA,使用Guide-it sgRNA体外转录试剂盒。该试剂盒使用PCR生成包含sgRNA编码序列的模板DNA(由您的crRNA和tracRNA组成),受T7启动子控制。然后,使用PCR产物模板进行体外转录,产生可以用于效率测试和/或细胞转导的sgRNA。 选择最有效的sgRNA即使您选择了符合上述要求的目标序列,sgRNA的特异性和活性仍然是不可预测的。因此,通常建议设计多个不同的sgRNA来靶向感兴趣的基因。我们的Guide-it sgRNA筛选试剂盒提供了一种简单而强大的体外方法,用于在细胞转导之前评估sgRNA的效率,从而帮助您确定最有效的CRISPR。通过我们的CRISPR-Cas9试剂,研究人员可以对几乎任何细胞类型中的任何基因进行有针对性的、特定的修改。此外,还提供了各种预制的编辑细胞系列和专业的基因组工程服务。